Um caso que expõe a demora no atendimento da saúde pública em Rondônia tem mobilizado uma família vinda do Amazonas. O amazonense Pedro Korilo procurou a imprensa nesta quarta-feira (11) para relatar a situação do filho, Clerio Korilo, de 28 anos, que aguarda há mais de 70 dias por uma cirurgia ortopédica considerada urgente.
Naturais do município de Lábrea (AM), localizado a cerca de 200 quilômetros de Porto Velho (RO), pai e filho chegaram ao estado no dia 27 de novembro em busca de tratamento. Desde então, o paciente já passou por diferentes unidades de saúde. Inicialmente atendido no Hospital João Paulo II, ele foi transferido para o Hospital Regina Pacis e atualmente encontra-se no Hospital de Base.
Segundo o pai, a família enfrenta dificuldades para conseguir a realização do procedimento.
“Eu pago todos os meus impostos. Contribuo igual a todo mundo. Quando a gente precisa do governo, ele não aparece”, desabafou Pedro Korilo.
Cirurgia urgente
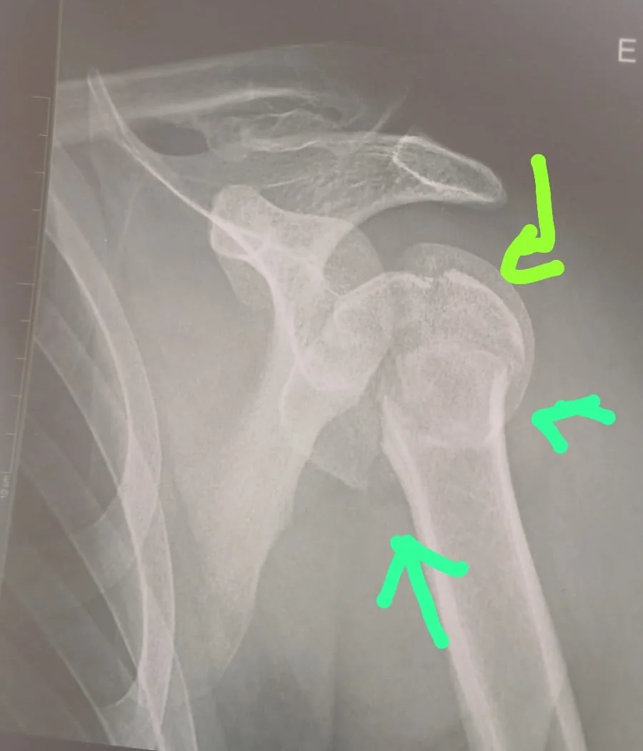
De acordo com documentos médicos apresentados, Clerio necessita realizar com urgência uma osteossíntese de fratura de úmero proximal, procedimento indicado para realinhar e fixar os fragmentos ósseos do ombro. Com a demora, o quadro clínico se agravou.
A família afirma ter sido informada de que o material cirúrgico ainda não foi adquirido. Segundo Pedro, chegou a ser aberta licitação, porém nenhuma empresa teria participado, e ele chegou a ser orientado a buscar orçamento por conta própria.
Na rede particular, o procedimento foi avaliado em cerca de R$ 137.800,00, valor que inclui honorários médicos, materiais hospitalares e acompanhamento pós-operatório — quantia impossível para a família custear. A espera já provoca consequências mais graves: o jovem pode precisar de prótese e corre risco de perder os movimentos do braço.
Caso foi parar na Justiça
Diante da situação, a família ingressou com ação judicial no 1º Juizado Especial da Fazenda Pública de Porto Velho. A decisão determina que o Estado providencie o atendimento em caráter imediato.
O juiz Wanderley José Cardoso determinou a intimação pessoal do secretário estadual de Saúde para comprovar o cumprimento da decisão em até cinco dias, sob pena de multa e até bloqueio de verbas públicas.
Dificuldades financeiras
Além da preocupação com a saúde do filho, Pedro relata dificuldades para se manter na capital rondoniense durante a espera.
“Já estou ficando sem recursos, gastando com transporte, alimentação e estadia. Não sei mais o que fazer”, afirmou.
Até o fechamento desta matéria, a Secretaria de Estado da Saúde (Sesau) não havia se pronunciado sobre o caso.
A situação reacende o debate sobre a demora na realização de procedimentos especializados no sistema público e a dependência cada vez maior de decisões judiciais para garantir atendimentos considerados urgentes.





